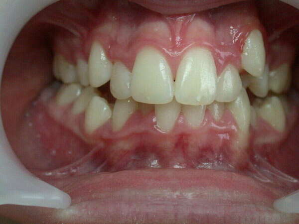
Traitement orthodontique chez une adolescente, pour la correction d’une malocclusion de type Classe I avec position palatine des incisives latérales maxillaires. Orthodontie Dr Robeyns à SECLIN
Blog - Page 2
Traitement orthodontique chez une adolescente, pour la correction d’une malocclusion de type Classe II avec chevauchement dentaire. Avec extraction des 4 premières prémolaires. Orthodontie Dr Robeyns à SECLIN
Traitement orthodontique chez un adolescent, pour la correction d’une malocclusion de type Classe I avec malposition des canines. Orthodontie Dr Robeyns à SECLIN
Traitement orthodontique chez une adolescente, pour la correction d’une malocclusion de type Classe I avec chevauchement dentaire. Avec extraction des 4 premières prémolaires. Orthodontie Dr Robeyns à SECLIN












